Dental Implant – 1 Case ID: 4679 Before and After Images Dental Implant – 1View More Images → Dental Implant – 1View Case
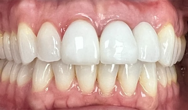
Porcelain Veneers – 1 Case ID: 0866 Before and After Images Porcelain Veneers – 1View More Images → Porcelain Veneers – 1View Case