Dental Bonding Case ID: 4761 Before and After Images Dental BondingView More Images → Dental BondingView Case
Dental Bonding Case ID: 4762 Before and After Images Dental BondingView More Images → Dental BondingView Case
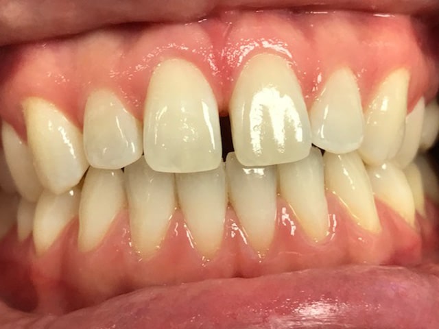
Cosmetic Bonding Case ID: 4771 Before and After Images Cosmetic BondingView More Images → Cosmetic bonding with space closure Cosmetic BondingView Case
Dental Bonding Case ID: 4931 Before and After Images Dental BondingView More Images → Dental BondingView Case
Dental Bonding Case ID: 5122 Before and After Images Dental BondingView More Images → Dental BondingView Case
Dental Bonding Case ID: 5220 Before and After Images Dental BondingView More Images → Dental BondingView Case